L A   M E D I C I N A   N A T U R A L   A L   A L C A N C E   D E   T O D O S


SISTEMA NERVIOSO Y VASCULAR

    Un nervio es un conjunto de fibras nerviosas o axones, asociadas en fascículos por medio de tejido conjuntivo.

    Los nervios son parte del sistema nervioso periférico. Los nervios aferentes transportan señales sensoriales al cerebro, por ejemplo de la piel u otros órganos, mientras que los nervios eferentes conducen señales estimulantes desde el cerebro hacia los músculos y glándulas. Estas señales, a menudo llamadas impulsos nerviosos, son también conocidas como potenciales de acción: ondas eléctricas que viajan a grandes velocidades, las cuales nacen comúnmente en el cuerpo celular de una neurona y se propagan rápidamente por el axón hacia su extremo, donde por medio de la sinapsis, se transmite a otra neurona.

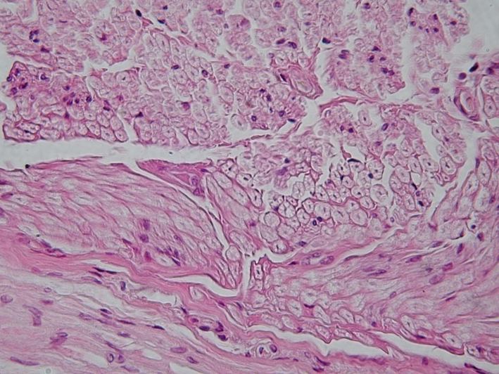
    Estructura de un nervio
    Tipos de nervios

    Los nervios se dividen según la clasificación de Erlanger y Gasser en tres categorías dependiendo de la velocidad de conducción del estímulo nervioso y de si constan de vaina de mielina o no. Así, tenemos:

    Fibras de tipo A, con vaina de mielina y que se subdividen en tipo alfa (velocidad de conducción 70 a 120 m/s, diámetro 12 a 20 micras, responsables de la propiocepción), beta (Vel. de conducción 30-70 m/s, diámetro 5-12 micras, responsables del tacto y la presión), gamma (Vel. de conducción 15-30 m/s, diámetro de 3-6 micras, responsables de la transmisión motriz a los husos musculares ) y delta (Vel. de conducción 12-30 m/s, diámetro 2-5 micras, transmisión del dolor, el frío y parte del tacto)

    Fibras B, mielinizadas, responsables de la conexión autónoma preganglionar (Vel. conducción 3-15 m/s, diámetro menor a tres micras)

    Fibras C, no mielinizadas (sin vaina de mielina), que se ocupan de la transmisión del dolor, la temperatura, información de algunos mecanorreceptores y de las respuestas de los arcos reflejos (Vel. conducción 0.5 a2 m/s, diámetro de 0.4 a 1.2 micra

    En los nervios se pueden distinguir distintos componentes:

  • Epineuro: Es la capa más externa de un nervio y está constituida por células de tejido conectivo y fibras colágenas, en su mayoría dispuestas longitudinalmente. También pueden encontrarse algunas células adiposas.
  • Perineuro: Es cada una de las capas concéntricas de tejido conjuntivo que envuelve cada uno de los fascículos más pequeños de un nervio.
  • Endoneuro: Son unos finos fascículos de fibras colágenas dispuestas longitudinalmente, junto con algunos fibroblastos introducidos en los espacios situados entre las fibras nerviosas. El finísimo endoneuro está formado por delicadas fibras reticulares que rodean a cada fibra nerviosa.
  • Conforme el nervio se va ramificando, las vainas de tejido conjuntivo se hacen más finas. En las ramas más pequeñas falta el epineuro, y el perineuro no puede distinguirse del endoneuro, ya que está reducido a una capa delgada fibrilar recubierta de células conjuntivas aplanadas que se parecen a las células endoteliales. Los vasos sanguíneos se localizan en el epineuro y en el perineuro y raras veces se encuentran en los acúmulos más densos de endoneuro


Nervio visto a través del microscopio (ampliable)

    Información obtenida en parte desde wikipedia bajo licencia GFDL"


 Temas relacionados

 Ciática - Dolores musculares - EspasmofiliaEspasmosLumbagoTensión nerviosa


Si lo desea también puede desplegar el siguiente
menú con las partes y órgamos del cuerpo humano
y seleccionar el órgano o parte del cuepo que desee

 

Todos los derechos reservados - Ecoaldea.com  - Desde 1996 en Internet